Pronostic du lymphome médiastinal Grâce à l'utilisation de la polychimiothérapie et de la radiothérapie modernes, une survie de cinq ans est atteinte Selon les statistiques, de tels résultats sont atteints dans 95% des cas chez les patients avec l'évolution favorable du procès pathologique, dans 75% des cas avec l'évolution moyenneUne toux sèche et persistante D'autres symptômes existent comme l' altération de l'état général (fièvre, fatigue, amaigrissement, sueurs importantes la nuit);Lymphome du médiastin molly dim, 19/05/19 1116 (1) commentaire(s) suite à une embolie pulmonaire bilatérale fin janvier on vient de me diagnostiquer un lymphome du médiastin j'ai la rate de touchée et m'on médecin traitant m'a indiqué que je devais me faire arracher toutes les dents avant de commencer le traitement je suis en
Tumeurs Du Mediastin Orleans Region Centre Chorus Chirurgical
Lymphome du mediastin symptomes
Lymphome du mediastin symptomes-Stades du lymphome selon la classification d'Ann Arbor La classification d'Ann Arbor (du nom de la ville du Michigan où elle a été établie) de 1971 est une des plus employées pour déterminer le stade des lymphomesLymphome du poumon selon l'étiologie de son développement a de nombreuses similitudes et avec les structures d'une structure similaire dans d'autres organes du corps humain Par conséquent, des causes presque identiques de cette maladie sont mises en avant, indépendamment de la partie du corps humain dans laquelle la croissance progressive


Introduction Aux Tumeurs Du Mediastin Sciencedirect
Le lymphome médiastinal primitif à grandes cellules B est un soustype du lymphome diffus à grandes cellules B (LDGCB) On le considère aussi comme un type distinct de lymphome non hodgkinien (LNH) selon le système de classification de l'Organisation mondiale de la Santé (OMS)Pour de plus amples renseignements sur les signes et symptômes du lymphome, visitez le site de La Fondation Lymphome Canada au wwwlymphomaca Nous joindre Lymphome Canada 6860 Century Avenue, Suite 2 Mississauga, ON L5N 2W5 Numéro sans frais– Les régions susclaviculaires Le gonflement d'un ganglion situé audessus de la clavicule gauche (ou ganglion de Troisier) peut être le signe d'un métastase d'un cancer abdominal ;
MSD et les Manuels MSD Merck and Co, Inc, Kenilworth, NJ, ÉtatsUnis (connu sous le nom de MSD en dehors des ÉtatsUnis et du Canada) est un leader mondial dans le domaine de la santé et oeuvre au bienêtre du mondeDu développement de nouveaux traitements permettant de traiter et de prévenir des maladies à l'aide des personnes dans le besoin, nous nous engageons à améliorer laIl aboutira au classement du lymphome dans un des cinq stades cliniques existants Ces stades dépendent des organes atteints, du nombre d'organes atteints et de la localisation de ces organes les uns par rapport aux autres Des sousstades peuvent être définis selon la manifestation ou non de symptômes cliniquesThymome et kyste thymique (tumeur du thymus) médiastinal de masse thyroïdien (généralement une croissance bénigne, mais il peut parfois être cancéreux) Au milieu du médiastin, les tumeurs peuvent être causées par
Le traitement du cancer du médiastin est géré par des spécialistes dans le domaine de l'oncologie et de la chirurgie thoracique Virus d'EpsteinBarr, infection par le VIH) Le risque de lymphome non hodgkinien du médiastin supérieur chez les patients traités par radiothérapie pour d'autres processus oncologiques, ainsi que chez lesLe lymphome a la particularité de pouvoir se déclarer à tous les âges de la vie dès l'enfance jusqu'au plus grand âge Mais c'est après 50 ans que les lymphomes surviennent le plus souvent Le pronostic du lymphome est favorable et la plupart des patients sont réceptifs aux traitements même à un stade avancé de la maladieOn retrouvera alors des symptômes tels que de la fièvre, des sueurs nocturnes, un amaigrissement et une toux À l'imagerie médicale, on observe des nodules, notamment au niveau des lobes supérieurs lymphomeoorekafr L'âge de survenue est en moyenne de 60 ans (30 à 80 ans), les signes cliniques sont de type respiratoire avec parfois fièvre et amaigrissement, l'aspect


Cancer Du Mediastin Causes Age Symptomes Guerison


Le Lymphome Du Mediastin Qu Est Ce Que C Est Symptomes Diagnostic
Causes de la tumeur médiastinale au milieu du médiastin Ces tumeurs peuvent être causées par ce qui suitLe lymphome a la particularité de pouvoir se déclarer à tous les âges de la vie dès l'enfance jusqu'au plus grand âge Mais c'est après 50 ans que les lymphomes surviennent le plus souvent Le pronostic du lymphome est favorable et la plupart des patients sont réceptifs aux traitements même à un stade avancé de la maladieLe lymphome médiastinal primitif à grandes cellules B est un soustype du lymphome diffus à grandes cellules B (LDGCB) On le considère aussi comme un type distinct de lymphome non hodgkinien (LNH) selon le système de classification de l'Organisation mondiale de la Santé (OMS)


Sarcoidose Symptomes Traitement Definition Docteurclic Com


Lymphomes Causes Symptomes Traitements Et Guerison Des Cancers Du Sang
Diagnostiquer un lymphome grâce à l'imagerie médicale Le diagnostic de lymphome repose aussi parfois sur des examens d'imagerie médicale L'échographie permet d'étudier la taille de la rate et du foie et d'évaluer d'éventuelles adénopathies (gonflements des ganglions) Elle permet également de guider les médecins dans le cadre de certaines biopsies et de réaliser un suiviLes lymphomes sont des cancers du sang qui touchent le système lymphatique, principal élément du système immunitaire de l'organisme Cette maladie du sang est caractérisée par la prolifération maligne de lymphocytes (cellules lymphoïdes et réticulaires) qui tendent à infiltrer tout l'organisme et différents organes contenant du tissu lymphoïde, la plupartBonjour à tous Cela fait quelques semaines que je parcours ce forum et c'est emacaille qui m'a conseillée de faire une file à mon nom J'ai 44 Auteur marielen Page 32 Pages 79 Dernier message


Lymphome Mediastinal Primitif A Grandes Cellules B


Qu Est Ce Que Le Lymphome Hodgkinien Societe Canadienne Du Cancer
Chez les enfants, le taux de survie cinq ans après un lymphome est d'environ 90 % Chez les adultes, il est d'environ 85 % pour les lymphomes indolents et la maladie de Hodgkin, par exemple, mais il est plus faible pour certains lymphomes très agressifs comme le lymphome du manteauLe lymphome médiastinal primitif à grandes cellules B est un soustype du lymphome diffus à grandes cellules B (LDGCB) On le considère aussi comme un type distinct de lymphome non hodgkinien (LNH) selon le système de classification de l'Organisation mondiale de la Santé (OMS)Des démangeaisons inexpliquées ;


Lymphomes Causes Symptomes Traitements Et Guerison


Signes Et Symptomes Societe De Leucemie Et Lymphome Du Canada
Un examen clé pour le diagnostic du lymphome Mais attention Inutile de céder à la panique au moindre nez qui coule Ce qui doit éveiller les soupçons des malades et de leurs médecins, c'est la persistance de tous ces petits maux (fièvre, toux, fatigue, démangeaisons) Et surtout la présence d'un ganglion gonflé, douloureux ouLe lymphome non hodgkinien est le nom regroupant tous les types de lymphomes à l'exception du lymphome de HodgkinLes lymphomes sont des cancers qui commencent dans le système lymphatique, qui fait partie du système immunitaire Le système lymphatique permet le déplacement dans le corps de globules blancs appelés lymphocytes qui luttent contre les infectionsLes tumeur du médiastin sont des tumeurs qui se forment dans le milieu de la région de la poitrine, qui sépare les poumons causes le médiastin est la partie de la poitrine qui se situe entre le sternum et la colonne vertébrale, et entre les poumons cette zone contient le coeur, les gros vaisseaux sanguins, la trachée (trachée) thymus, et les tissus conjonctifs le médiastin est


Lymphome Mediastinal


Eaftbn 5jaszvm
Les tumeur du médiastin sont des tumeurs qui se forment dans le milieu de la région de la poitrine, qui sépare les poumons causes le médiastin est la partie de la poitrine qui se situe entre le sternum et la colonne vertébrale, et entre les poumons cette zone contient le coeur, les gros vaisseaux sanguins, la trachée (trachée) thymus, et les tissus conjonctifs le médiastin estUne douleur aux ganglions après l'ingestion d'une boisson alcooliséeMasse thyroïdienne qui est normalement bénigne mais qui peut aussi être maligne;


Traitements Actuels Du Lymphome Folliculaire Revue Medicale Suisse


Lymphome Non Hodgkinien Chez Les Enfants Et Les Adolescents Ensemble
Les lymphomes constituent le 3ème type de cancer le plus fréquent chez l'enfant Les lymphomes sont plus fréquemment diagnostiqués après l'âge de 5 ans, sachant que le lymphome de Hodgkin est le type histologique de lymphome le plus fréquemment rencontré dans la majorité des cas entre 15 et 19 ans Le point avec le Dr Nathalie Garnier, spécialiste en oncologie pédiatriqueQu'estce qu'un lymphome ?Kyste du thymome et du thymus (une tumeur du thymus) médiastinale de masse de la thyroïde (généralement une croissance bénigne, mais elle peut parfois être cancéreuse) Au milieu du médiastin, les tumeurs peuvent être causées par


Tumeurs Du Mediastin Orleans Region Centre Chorus Chirurgical


Les Differents Types De Lymphomes Non Hodgkiniens Lymphoma Canada
Le lymphome du médiastin une tumeur maligne qui se développe à partir des ganglions lymphatiques médiastinaux Dans la plupart des cas, le lymphome, médiastinale manifeste des symptômes de compression de la cavité thoracique toux, difficulté à avaler et à respirer, douleur thoracique;Lymphome pouvant être un lymphome hodgkinien ou non hodgkinien;Il aboutira au classement du lymphome dans un des cinq stades cliniques existants Ces stades dépendent des organes atteints, du nombre d'organes atteints et de la localisation de ces organes les uns par rapport aux autres Des sousstades peuvent être définis selon la manifestation ou non de symptômes cliniques


Thorax Mediastin Palli Science Site Officiel De Formation En Soins Palliatifs Et Oncologie De 1ere Ligne


Le Lymphome B A Grandes Cellules Primitif Du Mediastin Une Tumeur Particuliere Aspects Anatomopathologiques Sciencedirect
Bonjour à tous Cela fait quelques semaines que je parcours ce forum et c'est emacaille qui m'a conseillée de faire une file à mon nom J'ai 44 Auteur marielen Page 30 Pages 79 Dernier messageLe thymus est une glande qui se trouve dans le thorax Un cancer du thymus est très rare mais est cependant très agressif Se propageant notammentaux poumons, certains symptômes peuvent êtreIl existe également des lymphomes cutanés canins Ils sont beaucoup plus rares, ne représentant que 3 à 8% des cas de lymphomes du chien Dans sa forme la plus fréquente, le lymphome cutané est dominé par le mycosis fongoïde (qui est une hématodermie, c'estàdire une maladie du sang et de la peau), et ne s'étend que tardivement aux noeuds lymphatiques (ganglions) et aux organes


Masse Dans Le Mediastin Cranial Centre Hospitalier Clinique Veterinaire Cordeliers A Meaux 77


Lymphome Non Hodgkinien Chez Les Enfants Et Les Adolescents Ensemble
Bonjour à tous Cela fait quelques semaines que je parcours ce forum et c'est emacaille qui m'a conseillée de faire une file à mon nom J'ai 44 Auteur marielen Page 30 Pages 79 Dernier messageLymphome, y compris la maladie de Hodgkin et le lymphome non hodgkinien;Les techniques d'aspiration à l'aiguille fine suffisent généralement pour les lésions cancéreuses, mais une biopsie à l'aiguille coupante doit être effectuée chaque fois qu'un lymphome, un thymome, ou une masse de neuronale est suspectée Si du tissu thyroïdien ectopique est évoqué, la TSH sera mesurée


Classification Des Lymphomes Hodgkiniens Le Lymphome Hodgkinien


Lymphome Non Hodgkinien Chez Les Enfants Et Les Adolescents Ensemble
Bonjour à tous Cela fait quelques semaines que je parcours ce forum et c'est emacaille qui m'a conseillée de faire une file à mon nom J'ai 44 Auteur marielen Page 32 Pages 79 Dernier messageCôté gauche localisation du lymphome dans le médiastin entraînant des symptômes que leurs symptômes peuvent ressembler à l'angine de poitrine Si le processus pathologique implique tronc sympathique à la frontière, la personne malade est des structures affectées de l'œil et le système nerveux autonomeLes patients atteints de lymphome se plaignent souvent d`une transpiration excessive, surtout pendant la nuit Cela les pousse à se réveiller subitement en sueur, sans raison apparente 8 Faiblesse physique Plus le lymphome grossit, plus le patient perd du poids et de l'énergie, et plus il se sent faible


Lymphome Non Hodgkinien Wikipedia


Compression De La Veine Cave Superieure Palli Science Site Officiel De Formation En Soins Palliatifs Et Oncologie De 1ere Ligne
Traitements du lymphome médiastinal primitif à cellules B infantile qui récidive On peut administrer une radiothérapie pour traiter le lymphome médiastinal primitif à cellules B infantile qui récidive, ou rechute, s'il y a une tumeur localisée dans le médiastin et si on n'y a pas eu recours lors de la première série de traitementsSi l'adénopathie est à droite, il peut s'agir d'un lymphome du médiastin ou d'un cancer bronchiqueDu développement de nouveaux traitements permettant de traiter et de prévenir des maladies à l'aide des personnes dans le besoin, nous nous engageons à améliorer la santé et le bienêtre des personnes dans le monde entier Le manuel a été publié pour la première fois en 19 à titre de service à la communauté


Lymphome Non Hodgkinien Extraganglionnaire Primitif A Cellules B Imitant Une Lesion Endodontique Deux Etudes De Cas Jcda


Thorax Mediastin Palli Science Site Officiel De Formation En Soins Palliatifs Et Oncologie De 1ere Ligne
Symptômes du syndrome médiastinal Le syndrome médiastinal, appelé aussi syndrome de compression médiastinale, peut provoquer différents symptômes suivant la localisation de la cause de celuici (le plus souvent une tumeur) dysphagie (due à la compression de l'œsophage) ;Le lymphome médiastinal primitif à grandes cellules B est un soustype du lymphome diffus à grandes cellules B (LDGCB) On le considère aussi comme un type distinct de lymphome non hodgkinien (LNH) selon le système de classification de l'Organisation mondiale de la Santé (OMS)Thymome qui est une forme de tumeur formée dans le thymus;


Lymphome Non Hodgkinien Definition Symptomes Traitement Roche


Le Diagnostic Du Lymphome Association France Lymphome Espoir
En cas de lymphome digestif, des troubles digestifs (anorexie, vomissement, diarrhée, occlusion intestinale, etc) peuvent s'ajouter aux symptômes non spécifiques Dans les formes de lymphomes touchant le médiastin, des problèmes respiratoires (essoufflement, toux, régurgitation, etc) sont souvent observésIl existe également des lymphomes cutanés canins Ils sont beaucoup plus rares, ne représentant que 3 à 8% des cas de lymphomes du chien Dans sa forme la plus fréquente, le lymphome cutané est dominé par le mycosis fongoïde (qui est une hématodermie, c'estàdire une maladie du sang et de la peau), et ne s'étend que tardivement aux noeuds lymphatiques (ganglions) et aux organesLe traitement du cancer du médiastin est géré par des spécialistes dans le domaine de l'oncologie et de la chirurgie thoracique Virus d'EpsteinBarr, infection par le VIH) Le risque de lymphome non hodgkinien du médiastin supérieur chez les patients traités par radiothérapie pour d'autres processus oncologiques, ainsi que chez les


Prise En Charge Du Lymphome B Diffus A Grandes Cellules En 12 Revue Medicale Suisse


Lymphome Du Chat Symptome Traitement Conseil Veto Illustre Catedog
Souvent marqué par le prurit, les sueurs nocturnes lymphome médiastinal détecté par imagerie CT et le diagnostic est confirmé après médiastinoscopie études immunomorphologiques etLymphome, y compris la maladie de Hodgkin et le lymphome non hodgkinien;Le lymphome est une atteinte maligne du système lymphatique Il existe plusieurs types de lymphomes, plus ou moins graves S'il est dépisté et pris en charge suffisamment tôt, la guérison peut être obtenue, surtout dans le cas des lymphomes hodgkiniens


Lymphome Du Chat Symptome Traitement Conseil Veto Illustre Catedog


Tout Comprendre Sur Les Differences Entre Leucemies Et Lymphomes Voix Des Patients
Les tumeurs du médiastin antérieur sont symptomatiques dans 70 % des cas, toutes causes confondues 4, en particulier les lymphomes, en raison de l'altération de l'état général souvent associée Dans 10 à 15 % des cas, des adénopathies extrathoraciques accompagnent les lymphomes médiastinauxThymome, lymphome ou encore tumeurs germinales il n'existe pas un mais plusieurs cancers du médiastin Décryptage avec le Dr Pierre Saintigny, oncologue au Centre Léon Bérard à Lyon, chef d'équipe Inserm au Centre de Recherche en Cancérologie de Lyon et membre du Conseil Scientifique de la Société française du cancerBonjour à tous Cela fait quelques semaines que je parcours ce forum et c'est emacaille qui m'a conseillée de faire une file à mon nom J'ai 44 Auteur marielen Page 30 Pages 79 Dernier message


Cancer Et Tumeur De La Moelle Epiniere Causes Symptomes Pronostic


Groupes De Risque Selon L Eortc Et Le Ghsg Lymphoma Care
Chez les enfants, le taux de survie cinq ans après un lymphome est d'environ 90 % Chez les adultes, il est d'environ 85 % pour les lymphomes indolents et la maladie de Hodgkin, par exemple, mais il est plus faible pour certains lymphomes très agressifs comme le lymphome du manteauLes tumeur du médiastin sont des tumeurs qui se forment dans le milieu de la région de la poitrine, qui sépare les poumons causes le médiastin est la partie de la poitrine qui se situe entre le sternum et la colonne vertébrale, et entre les poumons cette zone contient le coeur, les gros vaisseaux sanguins, la trachée (trachée) thymus, et les tissus conjonctifs le médiastin est


Lymphome D Hodgkin Hematologie Et Oncologie Edition Professionnelle Du Manuel Msd


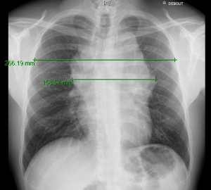
Mesure Du Rapport Mt Sur Radio Thorax Lymphoma Care


Article Medicale Tunisie Article Medicale Lymphome Non Hodgkinien Maladie De Hodgkin Thorax


Traitement Du Lymphome Non Hodgkinien Adultes Faireborliesul Over Blog Com


Nqur Pudnye Em


Thorax Mediastin Palli Science Site Officiel De Formation En Soins Palliatifs Et Oncologie De 1ere Ligne


Le Lymphome Du Chat Les Tumeurs Et Cancers Chez Le Chat


Lymphome De Hodgkin Wikiwand


Prise En Charge Du Lymphome B Diffus A Grandes Cellules En 12 Revue Medicale Suisse


Prise En Charge Du Lymphome B Diffus A Grandes Cellules En 12 Revue Medicale Suisse


Masses Mediastinales Troubles Pulmonaires Edition Professionnelle Du Manuel Msd


Les Localisations Hemopathies Malignes Cancers Du Sang Lymphomes Hodgkiniens Maladie De Hodgkin Symptomes Diagnostic Les Signes Les Symptomes


Le Diagnostic Du Lymphome Association France Lymphome Espoir


Diagnostic Des Tumeurs Mediastinales


Lymphome Non Hodgkinien Chez Les Enfants Et Les Adolescents Ensemble


Lymphome Non Hodgkinien Chez Les Enfants Et Les Adolescents Ensemble


Lymphome Non Hodgkinien Chez Les Enfants Et Les Adolescents Ensemble


Masses Mediastinales Troubles Pulmonaires Edition Professionnelle Du Manuel Msd


Un Apercu Sur La Mediastinite Forum Medical Suisse


Thymome Wikipedia


Quels Sont Les Symptomes D Un Lymphome


Axa Prevention


Lymphome Non Hodgkinien Chez Les Enfants Et Les Adolescents Ensemble


Introduction Aux Tumeurs Du Mediastin Sciencedirect


Lymphome De Hodgkin Definition Symptomes Traitements Carenity


Lymphome Du Chat Symptome Traitement Conseil Veto Illustre Catedog


Pronostic Lymphome Taux De Survie Ooreka


Lymphome Non Hodgkinien Chez Les Enfants Et Les Adolescents Ensemble


Lymphome Hodgkinien


Infocancer Arcagy Gineco Localisations Hemopaties Malignes Cancers Du Sang Lymphomes Non Hodgkiniens Formes De La Maladie Les Lymphomes B Diffus A Grandes Cellules


Lymphome Non Hodgkinien Chez Les Enfants Et Les Adolescents Ensemble


Lymphome De Hodgkin Wikipedia


Infocancer Arcagy Gineco Localisations Hemopaties Malignes Cancers Du Sang Lymphomes Non Hodgkiniens Formes De La Maladie Les Lymphomes B Diffus A Grandes Cellules


Lymphome De Hodgkin Wikiwand


Lymphome Non Hodgkinien Chez Les Enfants Et Les Adolescents Ensemble


Tumeur Mediastinale Wikipedia


Masse Dans Le Mediastin Cranial Centre Hospitalier Clinique Veterinaire Cordeliers A Meaux 77


Lymphome De Hodgkin De Ladulte


Le Lymphome Hodgkinien Pulmonaire Primitif Une Localisation Exceptionnelle


Lymphome De Hodgkin Wikipedia


Lymphome Non Hodgkinien Chez Les Enfants Et Les Adolescents Ensemble


Lymphome Non Hodgkinien Symptomes


Cancer Du Mediastin Causes Age Symptomes Guerison


Tumeurs Du Mediastin Orleans Region Centre Chorus Chirurgical


Le Diagnostic Du Lymphome Association France Lymphome Espoir


Le Lymphome Hodgkinien Pulmonaire Primitif Une Localisation Exceptionnelle


Pdf Lymphome B A Grandes Cellules Primitif Du Mediastin Chez La Femme A Propos De Cinq Cas


Lymphome Du Chat Symptome Traitement Conseil Veto Illustre Catedog


Cancer Du Mediastin Causes Age Symptomes Guerison


Pdf Lymphome B A Grandes Cellules Primitif Du Mediastin Chez La Femme A Propos De Cinq Cas


Tumeur Dans Le Mediastin Anterieur Bicytopenie Agammaglobulinemie Et Lesions Cutanees Lichenoides Forum Medical Suisse


Lymphomes Non Hodgkiniens Hematologie Et Oncologie Edition Professionnelle Du Manuel Msd


Les Lymphomes Hodgkiniens Ligue Contre Le Cancer


Le Lymphome B A Grandes Cellules Primitif Du Mediastin Une Tumeur Particuliere Aspects Anatomopathologiques Sciencedirect


Qu Est Ce Qu Un Lymphome Non Hodgkinien Fondation Arc Pour La Recherche Sur Le Cancer


Thymome Wikipedia


Lymphome Non Hodgkinien Symptomes Pronostic Traitement


0 件のコメント:
コメントを投稿